To read this publication in English click here.
Compreender a complexa inter-relação das desordens craniomandibulares requer uma ampla compreensão, não só da anatomia e fisiologia da cabeça e pescoço mas também da coluna vertebral. A coluna cervical é o elo flexível entre a cabeça e o tronco.
Só recentemente a odontologia começou a pensar na mandíbula e a sua associação com o crânio como uma relação tridimensional em lugar de considerá-la uma estrutura isolada e avaliada dentro de duas dimensões, como tem sido feito tradicionalmente.
Para avaliar corretamente a relação maxilo-mandibular devemos começar a considerar a posição de repouso mandibular fisiológica.
Repouso fisiológico é um conceito aplicável para todos os músculos do corpo. A musculatura estomatognática não é exceção.
Paciente de sexo masculino se apresenta à consulta queixando-se de forte dor atrás dos olhos, dor facial inespecífica, estalo na articulação temporomandibular do lado direito e crepitação do mesmo lado.
O paciente refere formigamento, sensação de dormência na coluna cervical e sensação de formigamento no ombro direito. Também relata dor, rigidez na nuca, dor nos ombros e tremor muscular.
O paciente havia terminado um tratamento ortodôntico e após a retirada do aparelho começou a sentir a sintomatologia
.relatada acima.
Devido a forte sintomatologia o paciente consultou vários profissionais: dentista clínico, fisioterapeuta, um clínico geral e também um médico ortopedista pelas dores no ombro.
O colega ortodontista que o tratou me encaminhou o paciente para ver se eu podia ajuda-lo.

Marcação dos pontos de dor: dor de cabeça, nuca rígida, dor no topo e na frente da cabeça. Dor atrás dos olhos e na nuca, estalos, dor facial inespecífica, crepitação, vertigem e tremor muscular.
Oclusão habitual do paciente antes do tratamento.
Vista oclusal superior e inferior do paciente antes do tratamento.
Radiografia panorâmica do paciente antes do tratamento.
Laminografia das articulações temporomandibulares direita e esquerda em boca fechada e boca aberta do paciente antes do tratamento.
Radiografia lateral do paciente antes do tratamento.
Radiografia frontal do paciente antes do tratamento.
Radiografia lateral e da coluna cervical do paciente antes do tratamento.
Registro eletromiográfico do paciente em oclusão habitual antes do tratamento.
Neste registro dinâmico são medidos os músculos temporais anteriores direito e esquerdo, músculos masseteres direito e esquerdo, músculos digástricos direito e esquerdo e os músculos trapézios superiores, direito e esquerdo.
No registro, solicitamos que o paciente abra a boca, feche, aperte os dentes forte e degluta.
É evidente a assimetria entre o músculo masseter direito e o músculo masseter esquerdo durante a máxima intercuspidação mantida. Os músculos digástricos na deglutição se ativam antes que os músculos masseteres, o que não deve acontecer em uma deglutição funcional.
O registro cinesiógrafico inicial mostra uma perda importante da velocidade quando o paciente abre e fecha a boca. Não há coincidência entre as trajetórias de abertura e fechamento na vista sagital do registro.
O paciente é um hiperlasso e não apresenta limitação na abertura da boca, mas é marcante a não coincidência da guia de abertura e fechamento no plano sagital.
RNM: corte sagital,boca fechada ATM esquerda.Esta imagem não mostra alterações significativas.
Este outro corte sagital mais interno da RNM da ATM esquerda em boca fechada mostra compressão e retroposição do côndilo mandibular. Observa-se uma faceta superior na cabeça mandibular.
LEMBREMOS QUE estamos olhando uma imagem bidimensional e que temos que entender que a COMPRESSÃO É TRIDIMENSIONAL.
Este corte sagital interno da RNM da ATM direita em boca fechada mostra compressão e retroposição do côndilo mandibular. Observa-se uma faceta superior na cabeça mandibular.
LEMBREMOS QUE estamos olhando uma imagem bidimensional e que temos que entender que a COMPRESSÃO É TRIDIMENSIONAL.
Este outro corte sagital da RNM da ATM direita em boca fechada evidencia ainda mais a compressão e retroposição do côndilo mandibular. Observa-se uma faceta superior na cabeça mandibular.
LEMBREMOS QUE estamos olhando uma imagem bidimensional e que temos que entender que a COMPRESSÃO É TRIDIMENSIONAL.

RNM: cortes frontais das articulações temporomandibulares direita e esquerda, boca fechada em oclusão habitual antes do tratamento.
O corte frontal da articulação temporomandibular direita evidencia uma perda de espaço articular, especialmente na região do polo lateral externo da articulação. Ambas imagens frontais mostram diminuição do espaço articular.
Para avaliar corretamente a relação maxilo-mandibular devemos começar a considerar a posição fisiológica de repouso mandibular.
Repouso fisiológico é um conceito aplicável para todos os músculos do corpo.
A musculatura estomatognática não é exceção.
Os músculos mastigatórios do paciente foram desprogramados eletronicamente e uma nova posição neuromuscular fisiológica de repouso foi registrada.
Com esses dados construímos um DIO (dispositivo intraoral), para manter tridimensionalmente a posição registrada. Este dispositivo deve ser testado eletromiograficamente para mensurar objetivamente o paciente.
É lógico que o relato da sintomatologia do paciente é importante, mas a eletromiografia de superfície mostra de forma objetiva se a função muscular melhorou, piorou ou não modificou.
Registro eletromiográfico com o DIO (dispositivo intraoral) em posição neuromuscular fisiológica.
Nota-se simetria nos músculos masseteres. Os músculos digástricos NÃO SE ATIVAM ANTES dos músculos masseteres na deglutição, isso implica que o paciente primeiramente fecha os dentes e a partir daí deglute, e não ao contrario, como no primeiro registro em oclusão habitual.
Registro cinesiográfico do paciente com o dispositivo intraoral: observa-se a melhora da velocidade e COINCIDÊNCIA das guias neuromusculares de abertura e fechamento.
Comparação das radiografias frontais do paciente: em oclusão habitual antes do tratamento e com o DIO (dispositivo intraoral), em posição neuromuscular fisiológica.
Comparação das laminografias das articulações temporomandibulares, direita e esquerda, em boca fechada e aberta: em oclusão habitual antes do tratamento e com o DIO (dispositivo intraoral), em posição neuromuscular fisiológica.
Comparação das radiografias laterais do paciente: em oclusão habitual antes do tratamento e com o DIO (dispositivo intraoral), em posição neuromuscular fisiológica.
No meio do tratamento encaminhei o paciente para uma colega fisioterapeuta para uma reprogramação postural.
Com a mandíbula em posição neuromuscular fisiológica a colega fisioterapeuta trabalhou o resto das cadeias musculares. O paciente apresentava também um discopatia incipiente no nível de C3 E C6.
Radiografias panorâmicas comparativas: antes do tratamento e durante o tratamento neuromuscular fisiológico.
Comparação dos registros cinesiograficos: antes do tratamento em oclusão habitual e com o DIO (dispositivo intraoral), em posição neuromuscular fisiológica.
Observa-se a melhora da velocidade e COINCIDÊNCIA das guias neuromusculares de abertura e fechamento.
Nota-se simetria entre os músculos masseteres, os músculos digástricos já não se ativam antes que os músculos masseteres na deglutição. Isso implica que o paciente fecha os dentes e, a partir dai deglute e não ao contrário, como no primeiro registro, em oclusão habitual antes do tratamento.
O paciente não relatou mais sintomatologia. Os registros eletromiográficos e cinesiográficos mostraram objetivamente a melhora da função neuromuscular.
Foi decidido iniciar a SEGUNDA FASE do tratamento para retirar o DIO (dispositivo intraoral), mantendo a oclusão neuromuscular fisiológica.
Para isso utilizamos uma ortodontia tridimensional, onde os dentes são erupcionados para a nova posição
neuromuscular fisiológica
Na segunda fase, neste caso a ortodontia tridimensional o paciente é monitorado e desprogramado eletronicamente, e muitas vezes o dispositivo é recalibrado, para manter a posição obtida na primeira fase.
Sequência da segunda fase ( neste caso clínico específico)
Sequência da segunda fase ( neste caso clínico específico)
Sequência da segunda fase ( neste caso clínico específico)
Sequência da segunda fase ( neste caso clínico específico)
Sequência da segunda fase ( neste caso clínico específico)
Sequência da segunda fase ( neste caso clínico específico)
Segunda fase terminada!
Radiografia panorâmica após a finalização da ortodontia tridimensional.
RNM: Comparação do corte frontal da ATM DIREITA, boca fechada, antes do tratamento neuromuscular fisiológico, e da mesma ATM DIREITA após a FINALIZAÇÃO DA SEGUNDA FASE, com a ortodontia tridimensional.
Pode-se observar a descompressão da articulação temporomandibular, especialmente no polo lateral.
RNM: Comparação do corte frontal da ATM DIREITA, boca fechada, antes do tratamento neuromuscular fisiológico, e da mesma ATM DIREITA após a FINALIZAÇÃO DA SEGUNDA FASE, com a ortodontia tridimensional.
Nota-se a descompressão da articulação temporomandibular, especialmente no polo lateral.
Observe as setas
RNM: Comparação do corte frontal da ATM ESQUERDA, boca fechada, antes do tratamento neuromuscular fisiológico, e da mesma ATM ESQUERDA após a FINALIZAÇÃO DA SEGUNDA FASE, com a ortodontia tridimensional.
Nota-se a descompressão da articulação temporomandibular.
RNM: Comparação do corte frontal da ATM ESQUERDA, boca fechada, antes do tratamento neuromuscular fisiológico, e da mesma ATM ESQUERDA após a FINALIZAÇÃO DA SEGUNDA FASE, com a ortodontia tridimensional.
Nota-se a descompressão da articulação temporomandibular.Observe as setas.
RNM: Comparação do corte sagital da ATM ESQUERDA, boca fechada, antes do tratamento neuromuscular fisiológico, e da mesma ATM ESQUERDA após a FINALIZAÇÃO DA SEGUNDA FASE, com a ortodontia tridimensional.
Nota-se a descompressão da articulação temporomandibular.
RNM: Comparação do corte sagital da ATM ESQUERDA, boca fechada, antes do tratamento neuromuscular fisiológico, e da mesma ATM ESQUERDA após a FINALIZAÇÃO DA SEGUNDA FASE, com a ortodontia tridimensional.
Nota-se a descompressão da articulação temporomandibular.
RNM: Comparação do corte sagital da ATM DIREITA, boca fechada, antes do tratamento neuromuscular fisiológico, e da mesma ATM DIREITA após a FINALIZAÇÃO DA SEGUNDA FASE, com a ortodontia tridimensional.
Nota-se a descompressão da articulação temporomandibular.
Melhora na relação entre a cabeça mandibular e o disco articular.
RNM: Comparação do corte sagital da ATM DIREITA, boca fechada, antes do tratamento neuromuscular fisiológico, e da mesma ATM DIREITA após a FINALIZAÇÃO DA SEGUNDA FASE, com a ortodontia tridimensional.
Nota-se a descompressão da articulação temporomandibular.
Registro eletromiográfico em oclusão neuromuscular fisiológica APÓS A FINALIZAÇÃO DA ORTODONTIA TRIDIMENSIONAL.
Nota-se simetria nos músculos masseteres.
O músculos digástricos já não se ativam antes dos músculos masseteres na deglutição. Isso implica que o paciente fecha os dentes e, a partir daí deglute, e não ao contrário, como no primeiro registro em oclusão habitual antes do tratamento.
Quer dizer que os objetivos conseguidos na PRIMEIRA FASE com o DIO em posição neuromuscular fisiológica foram mantidos após a finalização da ortodontia tridimensional.
Comparação dos registros eletromiográficos:
Antes do tratamento, em oclusão habitual.
Com o DIO (dispositivo intraoral), em posição neuromuscular fisiológica durante a PRIMEIRA FASE do tratamento.
APÓS A FINALIZAÇÃO DA ORTODONTIA TRIDIMENSIONAL.
Comparação das radiografias laterais do paciente:
Antes do tratamento, em oclusão habitual.
Com o DIO (dispositivo intraoral), em posição neuromuscular fisiológica durante a PRIMEIRA FASE do tratamento.
APÓS A FINALIZAÇÃO DA ORTODONTIA TRIDIMENSIONAL.
Comparação dos valores da (Relação Maxilo-Mandibular) :
Antes do tratamento, em oclusão habitual.
Com o DIO (dispositivo intraoral), em posição neuromuscular fisiológica durante a PRIMEIRA FASE do tratamento.
APÓS A FINALIZAÇÃO DA ORTODONTIA TRIDIMENSIONAL.
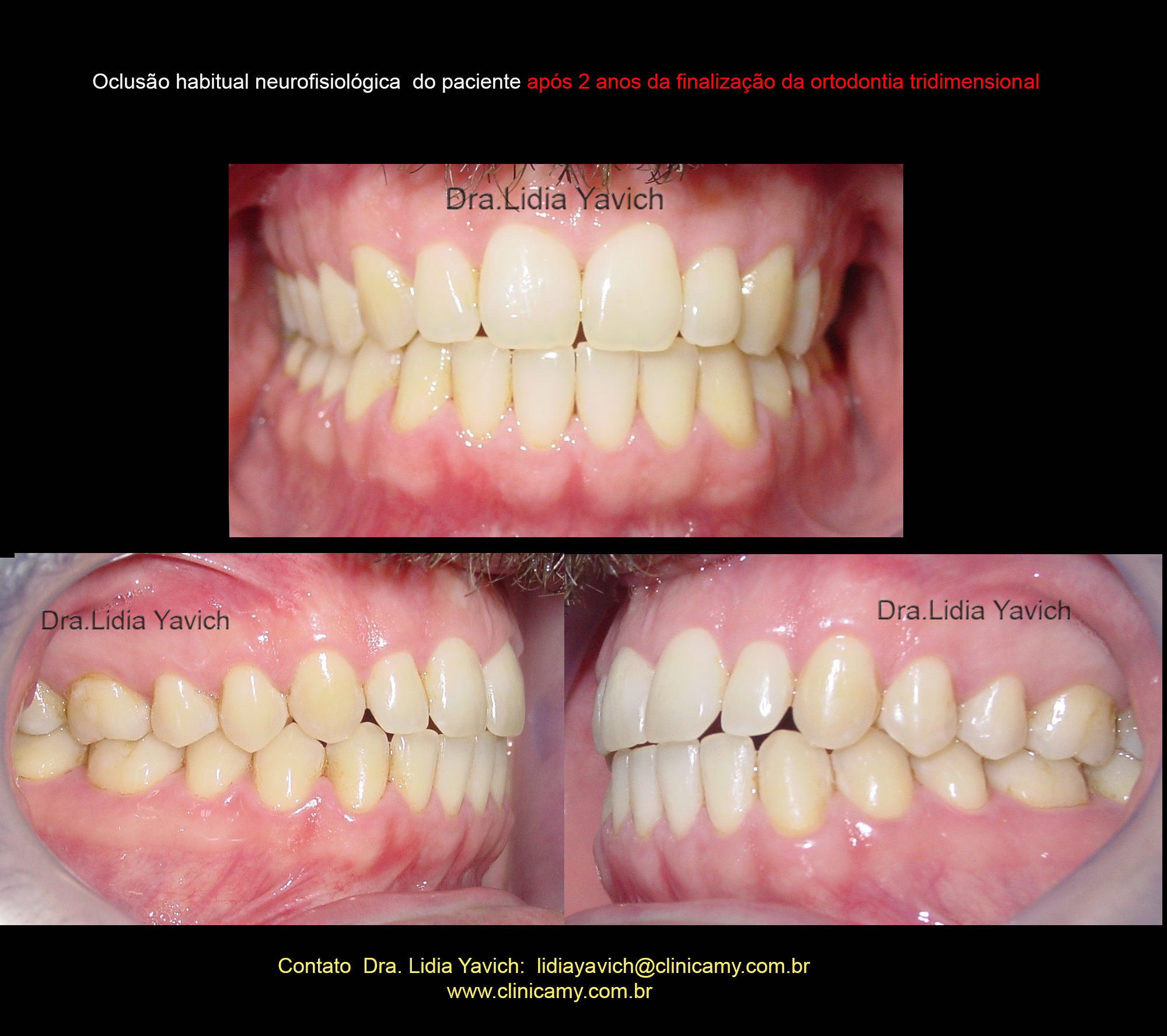
Em uma revisão, após dois anos de terminada a SEGUNDA FASE da Ortodontia Tridimensional, fotografei a oclusão habitual do paciente.
O paciente continua sem sintomatologia.
Na posição postural da mandíbula e na sua complexa relação tridimensional com a maxila, pequenos detalhes são fundamentais, especialmente em um paciente hiperlasso.
Não se trata de um caso de mordida profunda, nem de um caso em que simplesmente colocar a guia incisiva mais para frente resolveria o problema.
Nas imagens, a compressão tridimensional deste paciente se mostra de forma SUTIL, mas não por isso ela é menos DEVASTADORA.
Cada caso é um caso e cada ser humano é um individuo único.
Eu fui encaminhado por outro dentista para a Dra. Lidia, pois vivia com dores de cabeça e dor no pescoço.
Na primeira avaliação, a Dra. foi muito atenciosa explicando todo o método de tratamento e tudo que era necessário para alcançar os resultados esperados.
Ao longo do caminho, não tive mais dores de cabeça nem dores articulares: eu estava livre.
Toda a equipe da Clínica MY foi muito dedicada ao meu tratamento, que teve um excelente resultado.
Hoje, sou muito agradecido à Dra. Lidia e à sua equipe por toda a atenção.
Um grande abraço para a Clínica MY!


















































Maravilhoso trabalho ,Parabéns!
CurtirCurtir
Obrigada Janilce!
CurtirCurtir
Parabéns , trabalho de mestre!
CurtirCurtir
Obrigada Eunice!
CurtirCurtir
Parabéns! Excelente trabalho! Inspirador! Muito show!
CurtirCurtir
Obrigada Carlos.
CurtirCurtir