Paciente de sexo feminino 31 anos de idade se apresenta na consulta relatando forte dor de cabeça, forte dor no temporal especialmente do lado esquerdo, dor no ouvido esquerdo e pressão no olho esquerdo.
Refere também forte dor na nuca, vertigem, e relata que sente na bochecha uma sensação como se fosse queimadura e também dor.
Relata também que tem rinite alérgica e sinusite, pelo qual já tinha feito vários tratamentos. Mas que nunca teve essas dores em relação com a rinite e a sinusite.
Relata que tem bruxismo.
A paciente refere que usou aparelho ortodôntico removível e também fixo dos 15 aos 18 anos. Refere um traumatismo no setor anterior pelo qual o incisivo fraturou a borda incisal, quando criança. (ver a publicação Modificações estruturais do processo condilar como uma das sequelas de traumatismo na infância)
Nota-se o desgaste dos incisivos superiores e inferiores.
Em relação ao inicio da dor, a paciente relata que seguidamente sentia muito cansaço nos músculos da face, já que era professora e falava muito dando aula.
Mas só cansaço e nunca tinha tido dores que estava sentindo agora.
O episodio que a paciente relata como desencadeante das dores foi quando quebrou um dente simplesmente no meio da mastigação.
Depoimento da paciente
Quando quebrei o doente mastigando, fui a uma clínica de emergencia onde me fizeram um curativo.
Ao terminar o tratamento de canal, saí do consultório com MUITA DOR.
Mas não era dor de dente, era muita dor na face, especialmente no músculo masseter.
Dias após começou uma dor alucinante no pescoço, dor no ouvido esquerdo e dor de cabeça.
Na época foi derivada para um profissional que fez ajustes oclusais e que instalou uma placa.
Eu joguei a placa fora já que me queixava que a placa não só, não aliviava a dor, mais aumentava a minha dor.
A partir dai foi uma maratona de profissionais.
Quando a paciente terminou a última frase, a paciente olhou nos meus olhos e chorando perguntou:
Dra: a senhora acredita no que eu estou falando.
Respondi SIM, que acreditava no seu relato.
A paciente aumentou o choro e relatou que muitos dos profissionais, falavam que não tinha nada e que eram coisas da cabeça dela, stress!
A radiografia panorâmica da paciente mostra os canais endodonticamente tratados no primeiro molar superior do lado esquerdo (26). O molar que a paciente relatou ter fraturado e tratado).
Nota-se o terceiro molar inferior do lado direito (48)encontra-se angulado, e impactado na distal do segundo molar inferior do lado direito.
Na laminografia das articulações temporomandibulares da paciente, observa-se angulação anterior dos processos articulares. Aplainamento da superfície superior e posterior de ambos os processos articulares, mais significativo no lado direito.
Radiografia lateral da paciente
Em certo momento foi solicitado para a paciente uma escanometria dos membros inferiores, já que se suspeitava de uma diferença de comprimento dos membros inferiores. No caso da paciente revelou ser só um encurtamento muscular, já que estruturalmente seus membros inferiores apresentavam a mesma medida.
A cinesiologia computadorizada analisa o traçado dos movimentos que a mandíbula realiza nos três sentidos do espaço. A paciente tem uma abertura de 30 mm o que já é considerado uma limitação. A paciente não apresenta uma boa velocidade na abertura e fechamento mandibular. Isso pode ser um indicador de alterações musculares, lesões intra-articulares ou discrepâncias dentomusculares.
Nesta eletromiografia basal os músculos mastigatórios estão em hiperatividade, após a desprogramação eletrônica, os músculos abaixaram os seus valores.
Uma eletromiografia com um valor mais baixo, após a relaxação eletrônica, para um músculo particular, é mais importante que o valor absoluto antes de ser pulsado.
Nesta eletromiografia dinâmica, a paciente morde forte duas vezes, abre a boca, fecha e deglute. Os músculos masseteres, que são os mais potentes do sistema estomatognático geram pouquíssima atividade em máxima oclusão. Já os temporais anteriores estão recrutando mais unidades motoras que os masseteres, o qual não é fisiológico em um sistema que funcione equilibradamente.
Nesta eletromiografia dinâmica a paciente morde em máxima intercuspidação habitual (A), em (B) com rolos de algodão entre as superfícies oclusais direita e esquerda onde a atividade melhora muito.
Toda modificação da posição da articulação leva a uma modificação do comprimento do músculo e, portanto da sua força. Os músculos que são encurtados ou alongados em aproximadamente 20 % apresentam o que se chama de insuficiência mecânica e uma potencia intrínseca diminuída (Macintosh, Valencia et al., 1986).
Na ressonância nuclear magnética observa-se angulação anterior dos processos articulares, aplainamento da superfície superior e posterior de ambos os processos articulares. Informação que tínhamos na laminografia.
Os discos articulares estão afilados o que implica estruturalmente um disco que nem sempre pode cumprir a função para o que um disco está desenhado. De tudo jeito é imperativo promover uma descompressão articular.
Lembrar como melhora a eletromiografia com a colocação dos rolos de algodão entre as superfícies oclusais.
Os músculos mastigatórios da paciente foram desprogramados eletronicamente e foi registrada a posição de repouso com um cineciógrafo computadorizado.
Este registro, foi muito difícil conseguir. A desprogramação da paciente foi complicada e difícil de conseguir, mesmo assim foi confeccionado um dispositivo muito fino para reposicionar a mandíbula que estava levemente posteriorizada.
Foi deixado um espaço interoclusal livre de um mm o que normalmente seria muito pouco (lembrar que o cineciógrafo computadorizado nos permite este tipo de medição)
Na tela podemos ler uma anotação que diz: (esta é a mordida que consegui), fiz questão de escrever isto no registro original, já que muitas vezes não conseguimos um bom registro na primeira vez e este foi um caso assim. Logicamente os registros vão modificando a medida que o sistema vai melhorando.
Neste outro registro onde estamos recalibrando o dispositivo da paciente, podemos ver a coincidência da trajetória habitual com a trajetória neuromuscular. A paciente consegue desprogramar melhor e podemos confeccionar um dispositivo melhor.
Neste registro cineciográfico com o DIO (dispositivo intraoral) em posição neurofisiológica em boca podemos observar a melhora da abertura, do fechamento e da velocidade.
Lembrar que a paciente não apresentava uma boa velocidade na abertura e fechamento mandibular, e uma trajetória de abertura mais vertical.
Registros cineciográficos comparativos de abertura,fechamento e velocidade: em posição habitual antes do tratamento e com o DIO (dispositivo intraoral).
Registros de posição de repouso comparativos : antes do tratamento e registro recalibrando o DIO (dispositivo intraoral). Na recalibração já podemos observar a coincidência da trajetória habitual com a trajetória neuromuscular.
Foi realizada a primeira fase (tratamento da patologia da ATM), com os controles e recalibrações necessários para optimizar a posição mandibular, conjuntamente neste caso com fisioterapia para equilibrar as cadeias posturais.
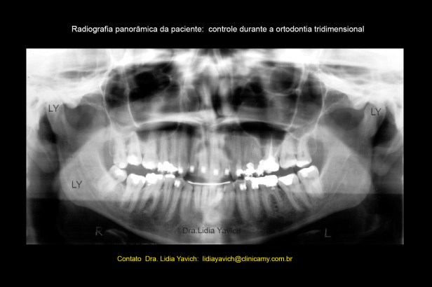
No pedido da radiografia panorâmica antes de passar para segunda fase, neste caso (ortodontia tridimensional) pode se observar a erupção do terceiro molar inferior direito que estava impactado na distal do segundo molar inferior do lado direito. ( paciente de 31 anos de idade).
Nesta etapa só foi liberado o acrílico do DIO da região do terceiro impactado, devolvendo a dimensão vertical da paciente e permitindo a erupção da peça dentaria.
Comparação da radiografia panorâmica pré-tratamento e após a primeira fase com o DIO (dispositivo intraoral) instalado em posição neurofisiológica.
Neste momento se inicia uma ortodontia tridimensional para a retirada do DIO.
Esta Ortodontia como já foi explicado em publicações anteriores (ver a publicação Ortodontia Tridimensional na Segunda Fase dos Tratamentos das patologias da Articulação Temporomandibular), deve manter sempre a localização mandibular em equilíbrio com os planos musculares, articulação temporomandibular e planos dentários conseguidos na primeira fase do tratamento.
Para isso temos ferramentas como a eletromiografia de superfície e a desprogramação mandibular que nos ajudam a controlar o funcionamento do sistema.
Serão mostradas poucas sequencias ate a retirada total do DIO (dispositivo intraoral)
Erupção ativa dos segmentos laterais, já em uma etapa mais avançada. Os dentes estão preenchendo o espaço antes ocupado pelo DIO.
Radiografia panorâmica de controle da erupção ativa. Corresponde a sequencia mostrada na imagem anterior.
Continuação do tratamento na ortodontia tridimensional. Imagem com e sem o dispositivo, o setor posterior já esta erupcionado.
Continuação do tratamento na ortodontia tridimensional.
Posteriormente foi feito o alinhamento do setor incisivo superior e a restauração com resina da parte fraturada. Alinhamento do setor incisivo inferior e finalização da ortodontia tridimensional após o tratamento da ATM.
Finalização da ortodontia tridimensional.
Registro eletromiográfico dinâmico da paciente após o tratamento.
Comparação dos registros eletromiográficos da paciente antes e após o tratamento. Podemos analisar o equilíbrio e funcionamento dos masseteres, o que não acontecia no registro inicial.
Registro cineciográfico de abertura,fechamento e velocidade na finalização do tratamento.
Registros cineciográficos comparativos de abertura,fechamento e velocidade: em posição habitual antes do tratamento, com o DIO (dispositivo intraoral) e na finalização do tratamento.
Laminografia da paciente em oclusão neuromuscular fisiológica na finalização do tratamento.
Laminografias comparativas da paciente: em oclusão habitual antes do tratamento e em oclusão neuromuscular fisiológica na finalização do tratamento.
Deve ser compreendido que a posição mandibular escolhida é aquela onde as articulações estejam descomprimidas e os músculos consigam recrutar mais unidades motoras, para isso utilizamos a desprogramação eletrônica mandibular. O registro também depende das informações obtidas nas imagens.
RNM (ressonância nuclear magnética) comparativas da paciente em oclusão habitual antes do tratamento e em oclusão neurofisiológica na finalização do tratamento.
Deve ser compreendido que a posição mandibular escolhida é aquela onde as articulações estejam descomprimidas e os músculos consigam recrutar mais unidades motoras, para isso utilizamos a desprogramação eletrônica mandibular.
O registro TAMBÉM DEPENDE das informações obtidas nas imagens. A RNM também proporciona informação que deve ser tida em conta no momento da decisão da posição mandibular, enriquecendo os dados proporcionados pelo cineciografo computadorizado: qual e o tipo de disco, posicionamento do mesmo, possibilidade ou não de recaptura entre outras.
Radiografia panorâmica da paciente após a finalização da segunda fase, neste caso a ortodontia tridimensional.
Radiografias panorâmicas da paciente comparativas: 1 antes do tratamento, 2 durante a primeira fase, 3 durante a ortodontia tridimensional, 4 após a finalização da ortodontia tridimensional.
Imagem comparativa frontal da paciente antes e após o tratamento.
Imagem comparativa de perfil da paciente antes e após o tratamento.
Depoimento da paciente:
Lembro muito bem quando tudo começou.
Primeiro sentia um cansaço enorme na boca e nos músculos da face. Estava muito estressada, dava aula e falava muito.
Quebrei um dente, ai…..o que fazer…procurei um dentista de emergência e este fez um curativo.
Indicaram-me uma dentista e tive que fazer um canal, sai do consultório com muita dor, (uma dor de cabeça incrível, alucinante, dor de ouvido).
Começei a perder peso, EU SENTIA MAL ESTAR, FALTA DE ANIMO, meu músculo da face, o masseter parecia que fazia halterofilismo, que forte e robusto, mas doía, parecia que tinha 200k no meu rosto, meu pescoço não fazia parte do meu corpo que dor insuportável, rejeição total, que falta de vontade de viver)… Meu corpo passou a doer inteiro, ate fibromialgia diziam que eu tinha uma perna menor que a outra e mais e mais problemas… Resumindo, eu era uma bomba relógio de tanto problema que diziam que eu tinha… (Sentia-me assim…).
A partir dai foi uma maratona de profissionais.
Placa de Michigan, fisioterapia INTENSIVA, quiropraxia, shiatsu, terapia, DOIM… RUIMM KKKKKKK….. Ate mãe de santo eu fui buscar e nada. hahahah
DAI fui me consultar com uma pessoinha IMPAR na minha DOIDA vida! Dra. Lídia!!!
Melhorou ….. Nâoooooo. A batalha aumentou!!!!!!!! KKKKKKKKK
Exames, ressonâncias, que sofrência !!!!!
E desde esse dia passaram cinco anos ate que minha vida voltasse ao normal… Normal com ou sem dor; SEM NENHUMA DOR!
Mas para isso muitas águas rolaram!
RESULTADO, DEPOIS DE MUITAS IDAS AO CONSULTÓRIO, LEMBRO MUITO DE ATENDIMENTO EM UM DOMINGO DE COPA DO MUNDO ONDE O BRASIL FOI CAMPEÃO E ESSA ALMA CARIDOSA, HHAHAH, ME ATENDEU.
QUANTA DOR, QUANTO DESESPERO MAS TAMBÉM QUANTA VONTADE DE ME CURAR ELA TINHA!
FOI DUREZA…..
MAS CONSEGUIMOS, MEU CISO ESTAVA COMPLETAMENTE SEM JUIZO RESOLVEU BROTAR DEPOIS DOS 30 ANOS.
EU DIZIA QUE MEUS DENTES ERAM DUAS TORCIDAS DE TIME DE FUTEBOL QUE NÃO SE ENCAIXAVAM , PALMEIRAS E CORINTHIANS, VIVIAM EM BRIGA ETERNA !!!
MAS DEPOIS DA TEMPESTADE…….
MEUS PROBLEMAS COMECARAM A SER RESOLVIDOS!
HOJE TENHO UM SORRISO LARGO GRACAS A DRA E STA LIDIA,HAHAHA, REZO TODO DIA PARA ELA!! HAHAHAHHA





























