A fratura do côndilo mandibular é uma das fraturas mais frequentes dentro das fraturas mandibulares. O tratamento destas fraturas tem sido sempre um assunto controverso. Uma das complicações da fratura do côndilo mandibular é a falta de união dos segmentos.
O presente caso clínico documenta um paciente do sexo masculino de 57 anos de idade com uma complicação por falta de união do côndilo mandibular esquerdo quatro meses após a cirurgia e a resolução deste caso com um alinhamento neuromuscular fisiológico dos segmentos, sem uma nova cirurgia ou fixação interna.
Paciente do sexo masculino de 57 anos de idade foi encaminhado para a clínica por seu dentista. Suas principais reclamações foram: falta de força ao mastigar, dificuldade em abrir a boca, dor cervical, dor nas ATMs e zumbido no ouvido esquerdo.
A história clínica revelou que o paciente caiu no banheiro quatro meses antes da consulta, batendo o queixo e fraturando sua mandíbula. Ele foi cirurgicamente tratado para a fratura da sínfise e do côndilo mandibular esquerdo.
O exame clínico extraoral não revelou qualquer inchaço óbvio.
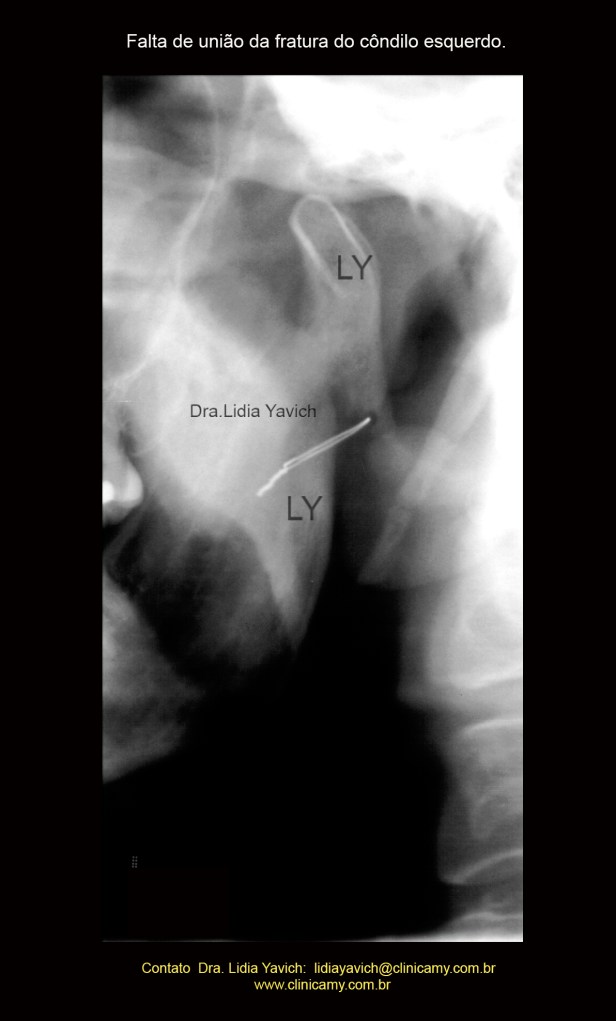
Após a realização de todas as avaliações clínicas foi solicitado uma radiografia panorâmica. Foi evidente a falta de união da fratura do côndilo mandibular esquerdo.
Anomalias dentárias incluíam a falta dos elementos 14, 36 e 46 e uma mordida aberta posterior do lado esquerdo.

Côndilos mandibulares assimétricos. Imagem radiopaca compatível com fio de osteosíntese na região inferior da apófise condilar do lado esquerdo com deslocamento do fragmento ósseo.
Na região do mento do lado direito, imagens radiopacas horizontais compatíveis com artefatos de osteosíntese para contenção da fratura na região anterior da sínfise mentoniana.
Ampliação do côndilo mandibular esquerdo na radiografia panorâmica.
Laminografia das ATMs do paciente no dia da consulta evidenciando a falta de união da fratura do côndilo mandibular esquerdo.
Foi solicitada uma TC (tomografia computadorizada) para obter um diagnóstico mais preciso.
TC: cortes sagitais confirmando a falta de união total da fratura do côndilo mandibular, quatro meses após a cirurgia.
TC: cortes frontais confirmando a falta de união total da fratura do côndilo mandibular, quatro meses após a cirurgia.
Reconstrução em 3D mostrando a falta de união total da fratura do côndilo mandibular, quatro meses após a cirurgia.
Outra reconstrução em 3D mostrando a falta de união total da fratura do côndilo mandibular, quatro meses após a cirurgia.
Registro eletromiográfico antes da desprogramação eletrônica na primeira consulta: atividade elevada do masseter direito, do trapézio direito e do digástrico direito em repouso.
Todos estes músculos mastigatórios abaixaram os seus valores após a desprogramação eletrônica.
Diminuição da atividade dos músculos mastigatórios em repouso após a desprogramação eletrônica.
Registros eletromiográficos comparativos antes e após a desprogramação eletrônica na primeira consulta do paciente.
Com base no histórico do caso e as características clínicas e radiográficas, este caso foi diagnosticado como uma falta de união da fratura do côndilo esquerdo mandibular. A falta de união ou não união é uma complicação nas fraturas mandibulares. Os fatores causais incluem atraso no tratamento, infecção, imobilização inadequada, e fixação interna imprópria; pode estar presente uma infecção concomitante.
Outros fatores contribuintes suspeitos incluem a falha para fornecer antibióticos, atraso no tratamento, dentes na linha de fratura, uso de álcool e de drogas, inexperiência do cirurgião, e falta de colaboração do paciente.
Geralmente o tratamento da falta de união consiste em técnicas convencionais de debridamento, antibioticoterapia e mais imobilização.
Encaminhamos o paciente de volta para o cirurgião, onde foi proposta uma nova cirurgia.
O PACIENTE SE RECUSOU TERMINANTEMENTE A TER UMA NOVA CIRURGIA
Considerando a decisão categórica de não realizar uma nova cirurgia o paciente retornou à clínica onde foi proposto. uma abordagem de tratamento conservador. O paciente foi informado sobre possíveis limitações do tratamento devido à sua idade.
Analisando as alternativas o paciente aceitou a proposta clínica.
Foi utilizada estimulação elétrica transcutânea neural (TENS) da divisão mandibular do nervo trigêmeo (V) para relaxar os músculos mastigatórios e registrar a posição de repouso da mandíbula.
Essa posição de repouso mandibular tridimensional foi gravada sob a forma de um registro de mordida oclusal, que mais tarde foi utilizado para fabricar um dispositivo intraoral.
Este é um aparelho removível mandibular que, neste caso, deve ser usado durante o dia e a noite pelo paciente.
Este aparelho intraoral é testado eletromiograficamente e cinesiograficamente para suportar esta posição neuromuscular fisiológica.
O paciente foi orientado para usar o dispositivo intraoral todo o tempo. As avaliações dinâmicas melhoraram e o paciente não sentiu mais dor nem dificuldade para mastigar.
Durante o tratamento um novo dispositivo intraoral em posição neuromuscular fisiológica foi construído.
Uma segunda radiografia panorâmica foi solicitada três meses após o inicio do tratamento.
A nova radiografia panorâmica mostrou a melhora da posição do côndilo mandibular e finalmente quatro meses após este ultimo controle uma terceira radiografia panorâmica foi solicitada onde pode se observar a união da fratura.
Imagem comparativa do côndilo mandibular esquerdo na primeira radiografia panorâmica do paciente no dia da consulta (4A).
Segunda radiografia panorâmica três meses após (4B)
Terceira radiografia panorâmica (4C) quatro meses após o segundo controle mostrando a melhora da posição do côndilo mandibular e a união do osso.
OBSERVAR A VERTICALIZAÇÃO DO FIO METÁLICO DA CIRURGIA
INVERSÃO DA COR da imagem comparativa do côndilo mandibular esquerdo na primeira radiografia panorâmica do paciente no dia da consulta (4A), segunda radiografia panorâmica três meses após (4B) e terceira radiografia panorâmica (4C) quatro meses após o segundo controle mostrando a melhora da posição do côndilo mandibular e a união do osso.
OBSERVAR A VERTICALIZAÇÃO DO FIO METÁLICO DA CIRURGIA.
Imagem comparativa do côndilo mandibular esquerdo na primeira radiografia panorâmica do paciente no dia da consulta (4A), segunda radiografia panorâmica três meses após (4B) e terceira radiografia panorâmica (4C) quatro meses após o segundo controle mostrando a melhora da posição do côndilo mandibular e a união do osso.
As imagens frontais da oclusão habitual no dia da consulta, quatro e sete meses após iniciado o tratamento estão também inseridas nesta imagem.
Uma nova TC foi solicitada e claramente mostra a união da fratura, sem o paciente ter sido submetido a uma nova cirurgia e sem ter usado nenhuma fixação maxilomandibular (MMF).

Reconstrução em 3D mostrando a falta de união do côndilo mandibular esquerdo após quatro meses da cirurgia e a posterior união do côndilo mandibular após o tratamento neurofisiológico.
Fraturas onde os músculos tendem a trazer os fragmentos juntos são mais favoráveis que aquelas fraturas onde os músculos tendem a separar os fragmentos.
O deslocamento dos segmentos da fratura é observado nas fraturas do côndilo mandibular. O tipo, mais comunmente observado é o deslocamento ântero-medial por causa da ação do músculo pterigoideo lateral.
A habilidade de posicionar espacialmente a mandibula, através da medição do comprimento de repouso dos músculos mastigatórios pode ser um auxiliar importante na recuperação das fraturas do côndilo mandibular.









PARABÉNS PELO EXCELENTE RESULTADO!
Conforme relatado o paciente usou o aparelho (DIO) o tempo todo. No entanto, favor confirmar se o paciente o mantinha durante suas refeições e qual foi a dieta instituída.
Houve emprego de fisioterapia ou manobra de redução da fratura por manipulação pré uso do DIO?
Atenciosamente,
Almir Feitosa
CurtirCurtir
Obrigada Almir. O paciente utilizou o DIO todo o tempo, inclusive nas refeições, solo tirava para higiene e voltava a colocar após a limpeza. Não teve indicação de dieta especial o paciente estava liberado para comer o alimento que quisesse à medida que foi recuperando a força. Neste caso não teve emprego de fisioterapia nem manobra de redução de fratura por manipulação antes do DIO.
CurtirCurtir
PARABÉNS!
Grato pela atenção.
Almir Feitosa
CurtirCurtir